查看: 212|回复: 2

[不吐不快] 年底了,崴脚了,朋友们注意安全

[复制链接]
累计签到:7 天
连续签到:1 天

1

主题

13

回帖

127

积分

星碎

名望
0
星币
100
星辰
0
好评
0
发表于 2025-12-25 20:47:59 来自手机 | 显示全部楼层 |阅读模式

注册登录后全站资源免费查看下载

您需要 登录 才可以下载或查看,没有账号?立即注册

×
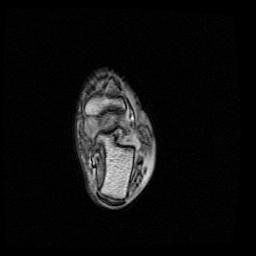
庆幸骨头没事,单肌腱拉伤,静养中
1000013703.jpg
1000013760.jpg
1000013812.jpg
1000013737.jpg
默认签名:偏爱是我家,发展靠大家! 社区反馈邮箱Mail To:paijishu@outlook.com
回复

使用道具 举报

累计签到:444 天
连续签到:1 天

0

主题

92

回帖

1521

积分

星体

名望
0
星币
1316
星辰
0
好评
0
发表于 2025-12-25 21:11:11 | 显示全部楼层
早日康复
默认签名:偏爱是我家,发展靠大家! 社区反馈邮箱Mail To:paijishu@outlook.com
回复 支持 反对

使用道具 举报

累计签到:64 天
连续签到:1 天

7

主题

70

回帖

447

积分

星光

名望
0
星币
312
星辰
0
好评
0
发表于 2025-12-25 22:00:52 | 显示全部楼层
小心点啊哥们
默认签名:偏爱是我家,发展靠大家! 社区反馈邮箱Mail To:paijishu@outlook.com
回复 支持 反对

使用道具 举报

您需要登录后才可以回帖 登录 | 立即注册

本版积分规则

Archiver|手机版|偏爱技术社区-偏爱技术吧-源码-科学刀-我爱辅助-娱乐网--教开服-游戏源码

偏爱技术社区-偏爱技术吧-源码-科学刀-我爱辅助-娱乐网-游戏源码

Powered by Discuz! X3.5

GMT+8, 2026-5-18 10:10 , Processed in 0.074262 second(s), 42 queries .

快速回复 返回顶部 返回列表